三重頌恩:
(02)2857-7905
士林頌恩:
(02)2882-6789
關於頌恩
About us
專科醫師團隊
Team
診療項目
Treatments
隱形矯正
齒顎矯正
顯微根管
兒童牙科
牙齒美白
全口重建
數位植牙贋復
水雷射牙周病治療
舒眠植牙
最新消息
News
醫療設備
Equipments
停車交通資訊
Parking
三重交通資訊
士林交通資訊
案例分享
Cases
矯正案例
Ortho case
海外專區
Overseas
關於頌恩
About us
專科醫師團隊
Team
診療項目
Treatments
+
–
隱形矯正
齒顎矯正
顯微根管
兒童牙科
牙齒美白
全口重建
數位植牙贋復
水雷射牙周病治療
舒眠植牙
最新消息
News
醫療設備
Equipments
停車交通資訊
Parking
+
–
三重交通資訊
士林交通資訊
案例分享
Cases
矯正案例
Ortho case
海外專區
Overseas
關閉
矯正案例
首頁
/
矯正案例
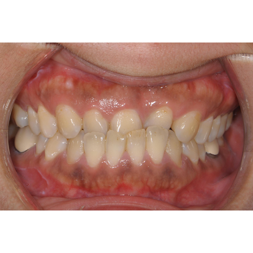
隱適美戽斗案例
石承勳醫師 治療案例
MORE
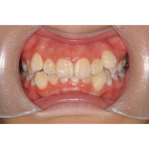
隱適美暴牙案例
石承勳醫師 治療案例
MORE
隱適美跨科合作案例
石承勳醫師 治療案例
MORE
隱適美深咬案例
石承勳醫師 治療案例
MORE
隱適美非拔牙青少年案例
石承勳醫師 治療案例
MORE
隱適美兒童案例
石承勳醫師 治療案例
MORE
隱適美拔牙案例
石承勳醫師 治療案例
MORE
INFO
三重頌恩
士林頌恩
關閉